Běžné poslechové vyšetření srdce již dnes rozhodně nestačí pro správnou diagnostiku srdečních onemocnění. Pro komplexní posouzení srdeční činnosti potřebujeme rentgenologické (RTG), ultrasonografické (echokardiografické), elektrokardiografické (EKG) vyšetření a měření krevního tlaku.
V oblasti kardiologie a pneumologie malých zvířat poskytujeme na našem pracovišti následující služby:
1. Konzultace a poradenská činnost
2. Vyšetření dýchacího a oběhového systému a to včetně:
- auskultačního (poslechového) vyšetření srdce a dýchacího systému
- rentgenologického vyšetření hrudníku
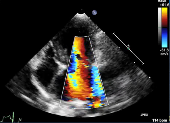
- ultrazvukového vyšetření srdce
- hematologického a biochemického vyšetření krve
- laboratorního vyšetření vzorků odebraných z hrudního prostoru a dýchacích cest (cytologické vyšetření, bakteriologická a mykologická kultivace)
Léčba srdečně-cévních onemocnění a onemocnění dýchacího systému za použití moderních léků s účinky na práci srdečního svalu, léků ovlivňujících srdeční frekvenci a rytmus a léků tlumících následky srdečního selhání. Provádíme léčbu vrozených i získaných onemocnění, léčbu akutního a chronického srdečního selhání způsobeného nemocemi chlopní, srdeční svaloviny a osrdečníku. V oblasti dýchacího systému provádíme léčbu infekčních i neinfekčních zánětlivých stavů včetně imunitně zprostředkovaných a alergických onemocnění.
