Veterinární lékař si již dávno nevystačí jen s teploměrem a fonendoskopem, chce-li přijít na pravou příčinu onemocnění Vašeho zvířecího kamaráda, neobejde se bez celé řady laboratorních vyšetření, laboratorní diagnostiky. Jmenovitě: vyšetření moči a stolice, vyšetření krve (hematologické a biochemické), cytologické vyšetření mozkomíšního moku, synoviální tekutiny, histopatologické vyšetření bioptátů, sérologické vyšetření krve a mnoho dalších
Vyšetření moči
Vyšetření moči je jedním z prvních diagnostických testů pokud Váš pes nebo kočka nadměrně pije a močí, trpí inkontinencí nebo bolestivým močením, nebo pokud jste viděli krev v moči nebo se Vám zdá, že močí často a malé množství. Vyšetření moči zahrnuje:
- makroskopické posouzení moči – již podle barvy, zákalu nebo zápachu lze usuzovat na infekci, nižší koncentrační schopnost ledvin apod.
- hustota moči – indikuje koncentrační schopnost ledvin (zda jsou ledviny schopny zahustit moč)
- vyšetření moči diagnostickými proužky - stanovuje pH, množství bílkoviny, cukru, krve, bilirubinu v moči apod.
- močový sediment – odebraná moč se centrifugou odstředí. Sediment, který zůstává na dně zkumavky, prohlížíme pod mikroskopem. V sedimentu rozlišujeme buňky, krystaly, válce, epitelie apod.
- kultivace moči – provádíme po sterilním odběru cystocentézou, slouží k diagnostice infekčního zánětu dolních cest močových a ledvin
Hematologické a biochemické vyšetření krve
Hematologické a biochemické vyšetření krve má nezastupitelnou roli zejména v diagnostice infekčních, metabolických, autoimunitních a nádorových onemocnění. Díky těmto vyšetřením jsme schopni posuzovat funkci jednotlivých orgánových systémů, umožnují nám nasměrovat další diagnostiku při nespecifických příznacích onemocnění. Maji nezastupitelnou roli v monitoringu účinnosti některých léčiv a v předoperačním vyšetření pacientů středního a vyššího věku z hlediska volby bezpečné anestézie. Přímo na našem pracovišti jsme schopni do 20 min. provést kompletní hematologické a biochemické vyšetření krve
Hematologické vyšetření krve zahrnuje:
- stanovení počtů červených krvinek, bílých krvinek, krevních destiček
- stanovení množství hemoglobinu, hematokritu
- posouzení krevního nátěru – morfologie a velikost červených krvinek, množství a morfologie bílých krvinek
- sedimentaece
- hodnocení srážlivosti krve – rutinní screening při podezření na otravu antikoagulačními rodenticidy nebo jiné poruše srážlivosti
Biochemické vyšetření krve zahrnuje:
- stanovení močoviny a kreatininu - určuje správnou funkci ledvin
- stanovení jaterních enzymů (ALT, ALP) - určuje správnou funkci jater
- stanovení hladiny krevního cukru (glukózy)
- stanovení celkové krevní bílkoviny, globulinů a albuminu
- stanovení hodnoty krevních iontů (Na, K, Cl, P, Ca apod.)
Sérologické vyšetření krve
Diagnostická metoda vyvinuta pro detekci protilátek proti nejrůznějším infekčním původcům (virům, bakteriím, parazitům) nebo alergenům (diagnostika alergií)
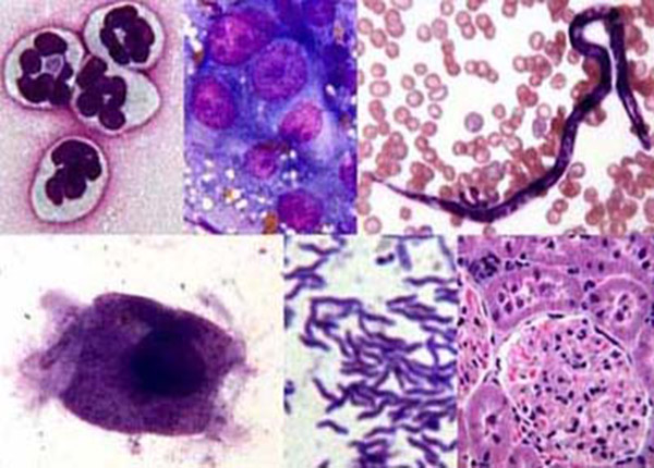
Cytologie
Cytologie je laboratorní metoda, při níž posuzujeme prostřednictvím mikroskopu buňky odebrané z patologického procesu v/na těle zvířete. Jedná se o otisky z povrchových ložisek (např. zánětlivá místa na kůži, stěry z uší, dutiny nosní, pochvy), aspiráty z novotvarů na kůži a v podkoží (nádorová onemocnění), z orgánů (játra, mízní uzliny). Dále takto můžeme posuzovat otiskové preparáty z již odebraných nádorů nebo tělní tekutiny – synoviální (kloubní) tekutina, mozkomíšní mok
Dermatologie
Kožní seškrab, otiskový preparát, trichoskopie apod.
